Uptown Comprehensive Dentistry and Prosthodontics
A Great Dentist

We are moving!

Uptown Prosthodontics is moving to a new location in March.

We will be closing the office from March 10th to the 16th as we move to the new office.

Our new address is 22650 E Hinsdale Ave Unit A Aurora

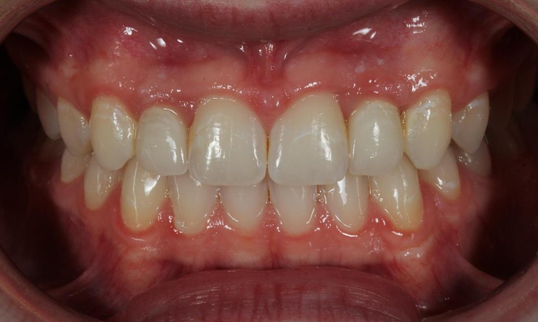
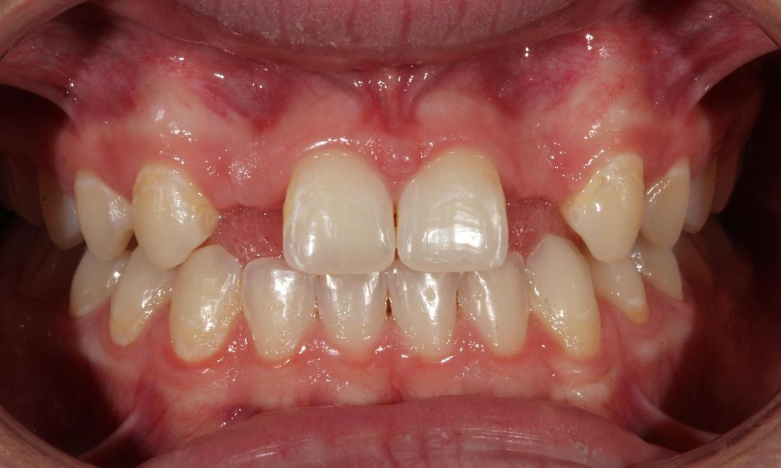
Implant crowns replacing missing front teeth

Natural looking implant restorations were made to replace missing lateral incisors.

Getting an appointment is fast and easy!
If you have difficulty using our website, please email us or call us at (303) 627-5755
View the ADA Accessibility Statement