Uptown Comprehensive Dentistry and Prosthodontics
A Great Dentist

We are moving!

Uptown Prosthodontics is moving to a new location in March.

We will be closing the office from March 10th to the 16th as we move to the new office.

Our new address is 22650 E Hinsdale Ave Unit A Aurora

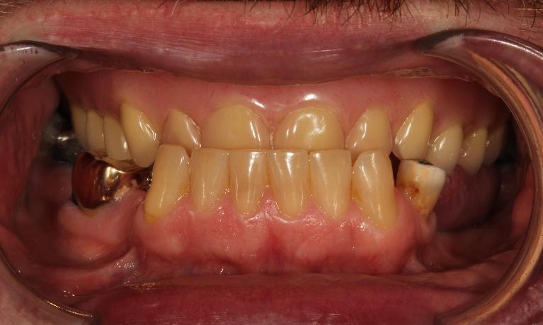
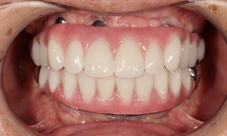
Gallery: Dental Implants

See why Aurora patients love dental implants as a way to permanently replace a missing tooth. These before-and-after photos show how natural a dental implant can look:

Have Questions? Get in Touch
If you have difficulty using our website, please email us or call us at (303) 627-5755
View the ADA Accessibility Statement