Skip to main content
Uptown Comprehensive Dentistry and Prosthodontics
A Great Dentist
Home
About
Our Team
Technology
Office Pictures
Services
View All
Full Mouth Reconstruction
All-on-4® Dental Implant Dentures
Cosmetic Dentistry
Crowns and Bridges
Dental Implants
Dentures
Digital X-Rays
Emergency Dental Care
General Dentistry
Porcelain Veneers
Teeth Whitening
Tooth-Colored Fillings
Gallery
Testimonials
Forms
FAQs
View All
All-on-4® Dental Implant Dentures
Full Mouth Reconstruction
Cosmetic Dentistry
Crowns and Bridges
Dental Implants
Dentures
Digital X-Rays
Emergency Dental Care
General Dentistry
Porcelain Veneers
Teeth Whitening
Tooth-Colored Fillings
Blog
Financial
Contact
Uptown Comprehensive Dentistry and Prosthodontics
A Great Dentist
Schedule an Appointment
Like us on Facebook
Follow us on Twitter
Leave a Google Review
Instagram
(303) 627-5755
6240 South Main St. #215, Aurora, Colorado 80016
22650 E Hinsdale Ave., Unit A, Aurora CO, 80016
PAY HERE
Uptown Comprehensive Dentistry and Prosthodontics
>
Gallery
>
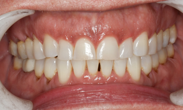
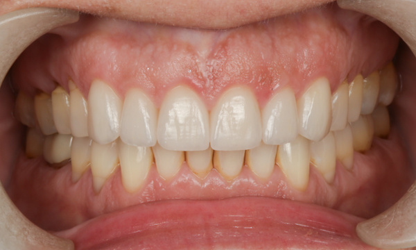
Crown lengthening surgery and aesthetic veneers
Crown lengthening surgery and aesthetic veneers
Return to Smile Gallery
Previous
Next
Gummy smile correction with crown lengthening surgery, followed by porcelain veneers to achieve a natural and aesthetic smile.
Related Services:
Cosmetic Dentistry
Porcelain Veneers
Teeth Whitening
Click image to see a larger picture
Before
After
Before
After
Getting an appointment is
fast
and
easy
!
Get Started!
OK!
×
×
Contact Us Today
Give Us A Call
Uptown Comprehensive Dentistry and Prosthodontics -
(303) 627-5755
Send Us an Email
Request an Appointment
Contact Us
Ready to Schedule an Appointment?
Book Online
Have Questions? Contact Us:
Required Field
Your Name:
Phone:
Email:
Are you a new patient?:
Are you a?
New Patient
Current Patient
How would you like us to contact you?
Please choose
Email
Call
How did you hear about us?
Please choose
I'm an existing patient
Google/Bing
Mailer
Word of mouth
Social media
Other
Who Referred You?:
Appointment Preferences
Monday
Tuesday
Thursday
Friday
Your Message:
This site is protected by reCAPTCHA and the Google
Privacy Policy
and
Terms of Service
apply.
Sending...
×
This Patient's Experience
Loading Testimonial...
Loading Case...