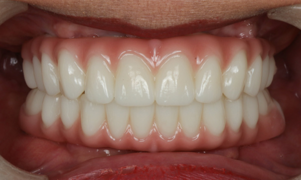
Oral rehabilitation with All-on-X fixed restorations. These full arch implant bridges are designed, adjusted and screws into dental implants to provide maximum function and aesthetics.
Related Services:
Full Mouth ReconstructionAll-on-4® Dental Implant Dentures
Dental Implants
Dentures